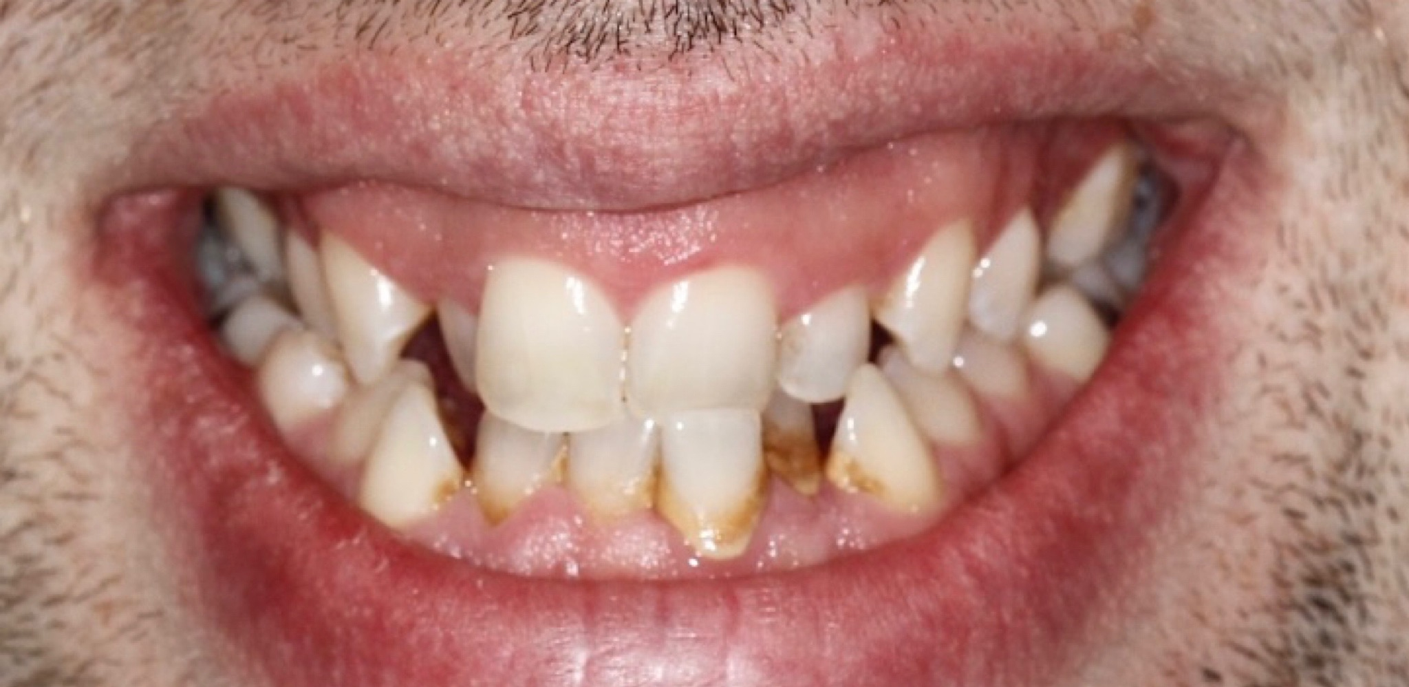
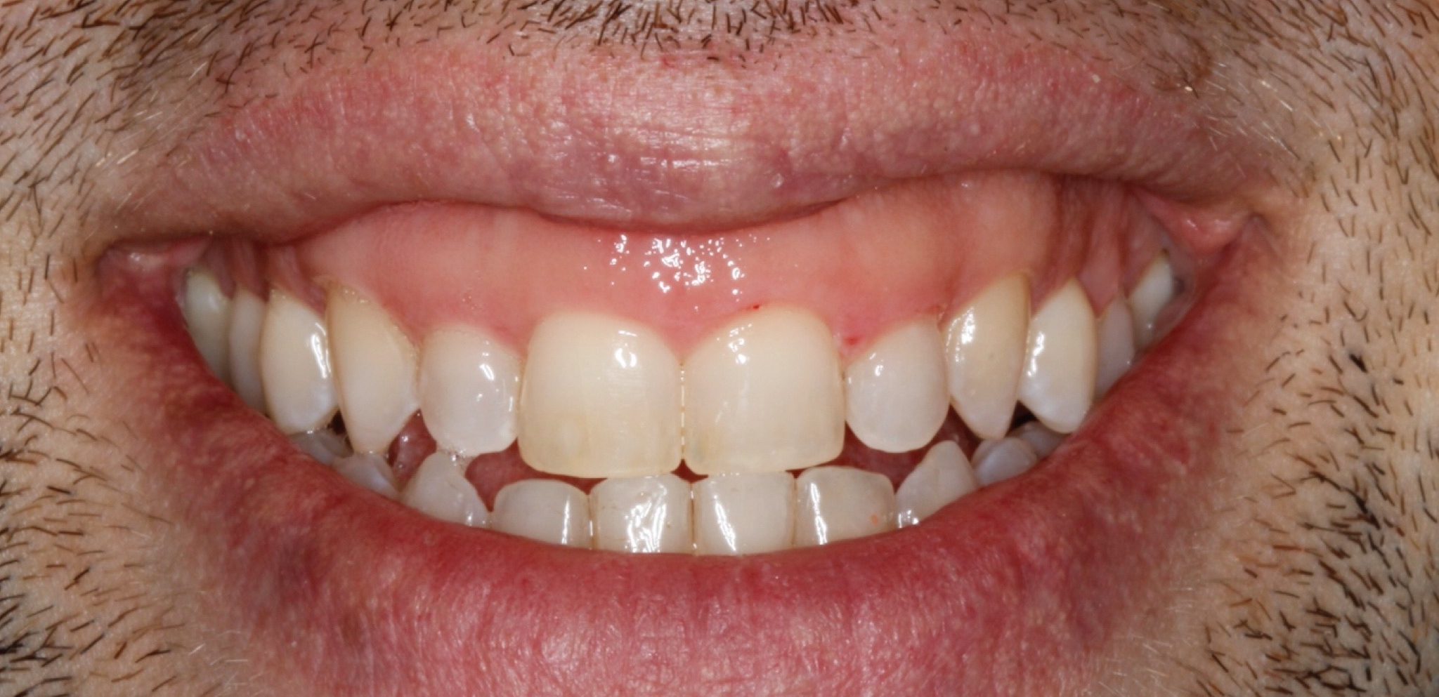
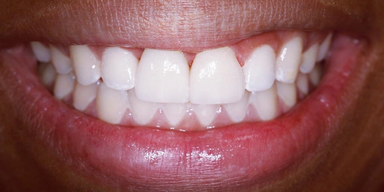
Real patients, real results
Browse these before-and-after photos to see how we've helped members of our community achieve healthier, more confident smiles through personalized care.
Browse these before-and-after photos to see how we've helped members of our community achieve healthier, more confident smiles through personalized care.


















%20before.webp)
%20after.webp)